TEHRAN – Iran’s girls’ handball team defeated China 30-25 in their opening match at the 2025 Asian Youth Games (AYG) on Monday.
The win marks Iran’s first win against China in the history.
Iran will play Uzbekistan on Tuesday in their…

TEHRAN – Iran’s girls’ handball team defeated China 30-25 in their opening match at the 2025 Asian Youth Games (AYG) on Monday.
The win marks Iran’s first win against China in the history.
Iran will play Uzbekistan on Tuesday in their…

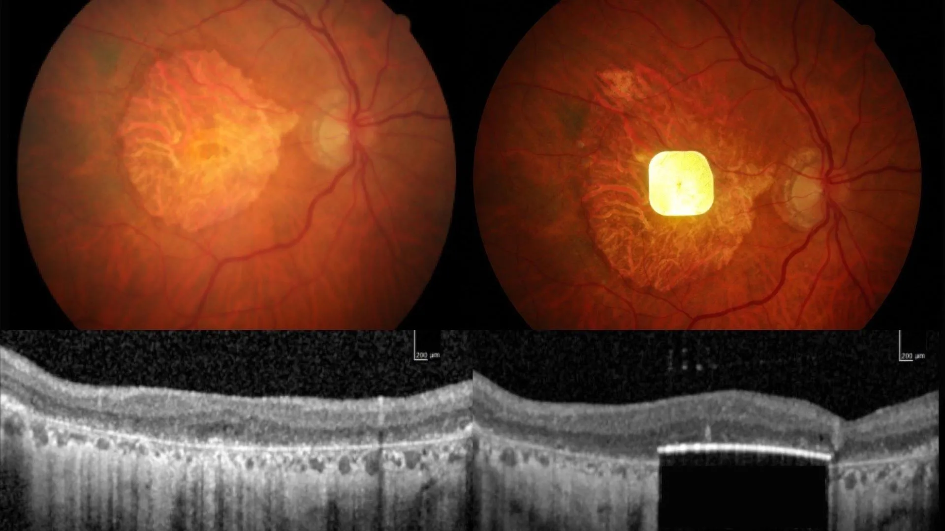
People who had lost their sight have regained the ability to read after receiving an innovative electronic eye implant paired with augmented-reality glasses, according to a clinical trial involving researchers from UCL (University College London)…

A draft regulation approved by European Union energy ministers would phase out Russian import contracts by January 2028.
Published On 20 Oct 2025
European Union states have agreed to halt…

A 55-year-old Palestinian woman has been taken to hospital after being clubbed over the head by a masked Jewish settler as she was picking olives.
The unprovoked attack, which took place on Sunday morning in the Palestinian village of Turmus Ayya…

In a meeting with hundreds of champions of various sports courses and medalists of the World Science Olympiads, Ayatollah Khamenei referred to the recent bullying of the US president, noting that this person tried to cheer up the Zionists and…

Why it matters:
Repeated violations by the Zionist regime threaten fragile peace efforts in the region and risk escalating violence with Hezbollah, undermining stability in Lebanon and beyond.
The big picture:
Hezbollah…

Polls have closed in Bolivia in a presidential election run-off between two pro-market candidates, marking the end of nearly two decades of socialist rule and the start of a likely realignment towards the United States, Al Jazeera reported.
…

By Press TV Website Staff
In a meeting held on Monday in Tehran with hundreds of sports champions and international Olympiad medalists, Leader of the Islamic Revolution Ayatollah Seyyed Ali Khamenei praised the young…

Iran’s Foreign Ministry spokesperson Esmail Beqaei said on Monday that conditions are not currently suitable for direct negotiations between Tehran and Washington, stressing that any talks would require mutual respect and recognition of each…

Speaking in a meeting on reviewing the situation of export of technical and engineering services to Iraq, Chairman of Iran-Iraq Joint Chamber of Commerce Yahya Al-e Es’hagh stated that the country had exported $4 billion worth of technical and…